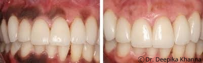
Excessive melanin deposits can darken gums and affect your dental aesthetics, potentially impacting your confidence. But worry not, depigmentation offers a simple and effective solution!
Excessive melanin deposits lead to gum pigmentation, causing them to look darker than usual. It is not a life-threatening condition. However, it can cause some people to feel self-conscious about their overall dental aesthetics. Gum pigmentation can be corrected easily through depigmentation.
Darker gums can be lightened through a LASER-assisted depigmentation procedure. The highly controlled LASER energy is passed through the hyperpigmented region section-by-section. The LASER has the ability to lighten the melanin content of the gums.
Our highly trained team has over 10 years of experience in providing the best dental care. LASER gum treatment is painless with no bleeding involved and this can instantly give a lighter shade to your gums. LASER gum surgery is in fact, an effective and comfortable procedure for decreasing gum pigmentation. There is certainly no need for a periodontal dressing after this procedure and it does not produce any post-operative swelling.
Faq
Will the pigmentation re-occur?
LASER gum treatment helps in completely removing the hyper pigmentation and thus chances for re occurrence are quite less.
Can this procedure harm my gums?
Certainly not. LASER treatment is a non-invasive procedure and it will not affect your Gum health. In fact, it helps to sterilise the gum tissue.
Do I have to make any special arrangements for taking this treatment?
No need to do any changes for undergoing this treatment. It is perfectly a single visit procedure, that is harmless and painless.
Can I take care of my oral hygiene as before after taking LASER gum depigmentation?
Absolutely you can continue your oral hygiene routine. For two to three days after the treatment, it is better to use the soft bristle brush for brushing.