Let us be your smile’s best friend! Our expert team is here to help you achieve that sparkling, youthful glow you’ve always wanted. Unleash the magic of a white smile today!
Teeth whitening removes stains from the tooth surface and restores the natural color of the teeth. Whitening is a safe and easy one-time procedure when performed by a dental professional. It is amongst the most common and widely adopted cosmetic procedure. With new technology, advanced whitening treatment procedures can give reliable and long-lasting results.
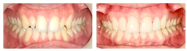
Before after picture
How does it work?
We photograph your teeth to track the progress of the treatment.
After examination, we will clean the teeth and remove tartar, external stains and the film on the enamel coated due to food/other substances.
We start the whitening process which takes around 30-90 minutes.
During the whitening process, we cover the gums and apply the whitening agent on the teeth.
Some whitening agents require laser lights on them.
If your teeth are badly stained, your dentist will suggest you continue the process at home for a few days.
Is there a risk associated with teeth whitening?
Teeth whitening does not have any risks however, some people may feel sensitivity for a few days or can experience mild gum irritation for some days.
Teeth whitening is a cosmetic procedure and therefore, it is not advisable for pregnant ladies. They can get it done only after delivery.
Faq
How Often Should You Get Your Teeth Whitened?
A teeth whitening treatment by professional lasts for about a year. Thus, undergoing a teeth whitening process after one year is considered healthy for overall oral health and a lasting smile. If you want to get expert teeth whitening treatment, get a consultation today.
Can One Brush Their Teeth After The Whitening Process?
Brushing teeth right after a teeth whitening treatment is not advised by dentists. Individuals must allow few hours to pass before brushing the teeth for the first time after treatment.
Is Teeth Whitening Permanent?
There are many types of teeth whiteningtreatment. The effect of each treatment differs from few months to up to three years. However, individuals who consume a lot of tea, coffee, and tobacco, or smoke will not be able to see the results for a longer time
Does Coconut Oil Whiten Teeth?
There is no proven research that shows the usage of coconut oil for teeth whitening. Dentists suggest that individuals must refrain from experimenting with their teeth as it can lead to side effects too.
Why do teeth get discolored?
The colour of your teeth can change due to lifestyle habits like heavy smoking or coffee and tea intake as well as other coloured food or drinks like wine, aerated drinks etc. Also as the outer layer of your tooth surface – Enamel thins out due to hard brushing and abrasives or simply with ageing, the teeth start appearing yellow.
Whitening can be done to the whiten and brighten such dark, discoloured, stained teeth caused by ageing, tobacco usage, smoking, intake of certain medications in childhood, consumption of some beverages, fluorosis and enamel deficiencies.
Can anyone benefit from teeth whitening?
Most patients will find a benefit in teeth whitening but everyone may not get the same results. For instance, yellow shades will whiten better than grey shades. By looking at the teeth, the dentist will be able to choose the treatment that would provide the best efficacy. Moreover, in cases of severe discoloration, whitening should always be the first treatment since it is also the most conservative.
For most patients, a combination of in office and home whitening yields optimum results. Although most of the stains can be remove with whitening, some deep intrinsic stains may need other options like porcelain laminates veneers, dental bonding or metal free crowns. deficiencies.
Is chairside whitening more effective that take home?
You can get the same results with both methods. However, it will take more time with take home whitening.
Are there any side effects?
Some patients may experience teeth sensitivity during and/or after treatment. These sensitivities are always temporary and disappear when the product is totally released from the teeth.
Are whitening treatment safe?
Teeth whitening has been performed by dentists for more than a century without any long term side effects. Many studies have proven that whitening is safe and effective when done by a dental professional. Moreover, teeth whitening is one of the most conservative treatments in cosmetic dentistry.
What Is The Cost Of Teeth Whitening Treatment?
The teeth whitening cost differs on aspects like oral health situation of an individual and type of treatment selected. Patients must discuss with a dentist to get complete details of price for the teeth whitening treatment.